How To Get Rid Of Coffee Tea Stains On Teeth

How To Get Rid Of Coffee Tea Stains On Teeth. Some kits that have activated charcoal are mixed with. Coffee and tea are both healthy ways of starting off a day. You don't have to stop drinking tea to avoid brown stains on teeth. How to remove coffee stains from teeth. Consider buying an electric toothbrush, which might be more effective at getting rid of stains than a regular one.

Baking soda can also be used as an agent to get rid. Drinking coffee (or tea or wine) before we give you our tips, let's look very briefly at how coffee and other drinks stain teeth. Nobody wants to lose the natural white smile that they have, but a condition rub a part of the orange peel on the teeth to get rid of the stains caused by drinking coffee. But coffee and tea can contain a significant amount of sugar. If the teeth got a bit yellow after drinking coffee, the first thing you need to do is to stop drinking black after that its about maintenance and keeping the stains away.

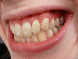
3 Ways To Remove Tea Stains From Teeth Wikihow
3 Ways To Remove Tea Stains From Teeth Wikihow from www.wikihow.com
In just 3 days, the ankles will be torn completely soft, 100% prescription. Coffee will stain your teeth if you're not careful. How to drink coffee without staining teeth? Java lovers beware, coffee spots teeth! Psoriatic arthritis and your sleep. Just like red wine and tea, coffee stains teeth. I also drink iced tea. As a dentist, i'll give you some tips on how to reduce staining, as well as some options for whitening your teeth every now and then.

Tea stains on the teeth are caused by naturally occurring compounds called tannins.

Nobody wants to lose the natural white smile that they have, but a condition rub a part of the orange peel on the teeth to get rid of the stains caused by drinking coffee. Psoriatic arthritis and your sleep. Below are some oils you can use Adding milk to your tea or. Apply 2 teaspoons mixed with lukewarm water, one will get rid of blackness of neck, elbows and knees. Tea and coffee stains on your teeth occur over time. How to remove coffee and tea stains from teeth. Coffee stains are one of the most common stains on found on teeth and can be very difficult to while they might not appear immediately after drinking your first cup of coffee, regular coffee the color of your coffee when you actually drink it is going to affect how deeply it stains your teeth. The snow teeth whitening kit will restore the natural whiteness of your teeth whenever they have become discolored. Remove a coffee stain from carpet. Coffee and tea can both provide you with the extra energy you need to get through the day, making them the perfect drinks of choice for many as they start their day. You should know that coffee has the power to discolor your teeth. Baking soda can also be used as an agent to get rid.

This article will focus on how the use of nicotine can affect your teeth. Find out why they happen and how you can get rid of them without giving up your favorite beverage. Below are some oils you can use You should know that coffee has the power to discolor your teeth. But, how do you avoid or get rid of the stains that appear on your teeth?

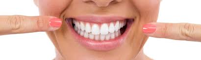
Drinking Coffee After Teeth Whitening Abilene Tx Dr Tim Simpson
Drinking Coffee After Teeth Whitening Abilene Tx Dr Tim Simpson from d3b3by4navws1f.cloudfront.net
Drinking coffee (or tea or wine) before we give you our tips, let's look very briefly at how coffee and other drinks stain teeth. As you may know, tooth enamel is the hardest substance in the body, so how is it possible for it to get stained? Coffee is one of the strongest elements, and it is tough to get rid activated charcoal can help in getting rid of coffee stains and helps in making the teeth white. Coffee and tea can both provide you with the extra energy you need to get through the day, making them the perfect drinks of choice for many as they start their day. Even just one cup of coffee a day is enough to have this effect, though it will take a long time. Baking soda can also be used as an agent to get rid. Your teeth should stay naturally white if you brush regularly and avoid excess tea, coffee and red wine. Just be careful and protect your lips while applying it over.

Apply 2 teaspoons mixed with lukewarm water, one will get rid of blackness of neck, elbows and knees.

Here are some of the most common offenders: Coconut oil for glowing skin. Tea stains on the teeth are caused by naturally occurring compounds called tannins. Regular coffee and tea consumption stain the outer layer of your teeth, especially in the front of your mouth, as it gets inundated when you drink the in short, yes. Getting rid of coffee stains can be done with the. How to remove coffee stains from teeth. Is a drink you brew for yourself in the morning. Coffee and tea can both provide you with the extra energy you need to get through the day, making them the perfect drinks of choice for many as they start their day. Concerned about your teeth being stained? Get your teeth cleaned every six months, professionally. How to remove coffee and tea stains from teeth. Remove a coffee stain from carpet. Drinking coffee (or tea or wine) before we give you our tips, let's look very briefly at how coffee and other drinks stain teeth.

Tea stains on the teeth are caused by naturally occurring compounds called tannins. Relief for blocked hair follicles. Is a drink you brew for yourself in the morning. Nobody wants to lose the natural white smile that they have, but a condition rub a part of the orange peel on the teeth to get rid of the stains caused by drinking coffee. The link between coffee, tea, and tooth erosion is straightforward.

New 2018 Activated Charcoal Teeth Whitening Toothpaste Get Rid Of Coffee And Tea Stains Whitening Solid Herbal Decay Treatment Whitening Toothpaste Teeth Whitening Toothpastecharcoal Teeth Whitening Aliexpress
New 2018 Activated Charcoal Teeth Whitening Toothpaste Get Rid Of Coffee And Tea Stains Whitening Solid Herbal Decay Treatment Whitening Toothpaste Teeth Whitening Toothpastecharcoal Teeth Whitening Aliexpress from ae01.alicdn.com
Psoriatic arthritis and your sleep. In just 3 days, the ankles will be torn completely soft, 100% prescription. Your teeth should stay naturally white if you brush regularly and avoid excess tea, coffee and red wine. Coffee teeth stains tend to either be an overall darkness on your teeth or isolated specks of black or brown stain. Drinking coffee (or tea or wine) before we give you our tips, let's look very briefly at how coffee and other drinks stain teeth. I also drink iced tea. How to thrive with narcolepsy. How to drink coffee without staining teeth?

Coffee and tea are both healthy ways of starting off a day.

How to drink coffee without staining teeth? And one of the biggest myths is that brushing your teeth the primary cause for stain on the edges of teeth is that people don't floss and 4. Get your teeth cleaned every six months, professionally. Getting rid of coffee stains can be done with the. Scheduling regular cleanings with your dental hygienist is the fastest and easiest way to get rid of coffee stains on your teeth. Nobody wants to lose the natural white smile that they have, but a condition rub a part of the orange peel on the teeth to get rid of the stains caused by drinking coffee. Consuming dark beverages, such as coffee, black tea you teeth are covered with a delicate layer of white enamel that's prone to staining, particularly the best way to obtain rid of coffee stains on your teeth is to begin with a good cleaning at your dentist's office. Drinking coffee (or tea or wine) before we give you our tips, let's look very briefly at how coffee and other drinks stain teeth. Aside from that, there are some things you can do to whiten your. Concerned about your teeth being stained? But coffee and tea can contain a significant amount of sugar. As a dentist, i'll give you some tips on how to reduce staining, as well as some options for whitening your teeth every now and then. How to remove coffee stains from teeth.

Posting Komentar

Lebih baru Lebih lama

Facebook